CADMOTOR
image annotation platform

Welcome to the home of image trials. If you are in need of a solution for hosting and structuring your videos and images, perform and characterize image annotations, run benchmarking tests, analyze results, and output data points for research, you could be in the right spot. Meducati AB (Sweden) has a long history of developing imaging software for endoscopy training and research. With a history of conducting 50+ projects, our solutions have been used for:

  • Running CAD trials and other imaging research projects
  • Pre-processing large ML filesets
  • Preparing content for interactive training
  • Development and delivery of e-learning courses
  • Establishing standardized grading criteria of the esophagus

The interest in Machine Learning (ML) is constantly growing. CADMotor is being developed to support partners´ increased needs for larger datasets, larger research teams, assessment standardization, time optimization and better integration with external platforms.

CADMotor overview

In preparation for ML algorithm training a highly scalable and accessible solution is required for management and keeping track of large amounts of content, annotation progress, and ease of selecting and outputting quality data points. Standardization of annotation methodology shortens assessment durations and makes it easier for assessors to contribute.

Projects with typically lesser amount of content such as user training and evaluation trials also benefit from keeping the same approach to tagging and classification as used by the ML sets. Established best practices shorten timespans and make different research approaches easier to compare and evaluate. Projects can be set up independently but a large database will also make it easy to derive and run trials on subsets of files quickly and as needed.

CADMotor is intended to facilitate both needs. The frontend is divided into two parts:

Admin section

CADMotor allows teams to manage content and build tailored imaging assessments into their workflow process. A selection of features:
  • Upload and tag videos and images
  • Manage assessor accounts
  • Run and monitor assessments
    • Select pre-defined assessment templates or customize new
    • Select subsets of content
    • Create questionnaires
    • Define image characteristics for the assessor to deliver
    • Define randomizing-algorithms for trial data distribution
  • Define ground truth and compare to assessor overlays
  • Review and output assessment results for analysis in .CSV or .JSON format

Assessors´ section

CADMotor allows for trial flexibility. Assessors have a single endpoint for all open assessments, but each one could appear different or have a different purpose:
  • Single image or side-by-side comparisons
  • Image, video, or plain questionnaire assessments
  • Selected drawing tools, pen, point, lasso, box etc
  • Access to support files, instructions or not
  • Open or pre-defined navigation paths

Technology

CADMotor is a cloud-hybrid solution. The backend utilizes Amazon Web Services (AWS). A team can have a private cloud formation (separated private area) setup, but no other installations are needed. CADMotor is using edge web technologies as necessary and browser restrictions apply. A selection of tools for building CADMotor:

  • AWS Dynamo DB for size and scalability
  • AWS S3 for storage
  • AWS Cognito as user database for security
  • AWS EC2 for hosting frontend applications
  • AWS Lambda for tasks, including image optimizations (Lambda layers)
  • Progressive Web Apps (PWAs) for offline capabilities
  • Node.js for web development
  • Drawing tools (internally developed)
  • Analysis tools; heatmap viewer, ground truth tester etc (internally developed)
  • Data exports in CSV or JSON for easy transfer to data analysis tools

Via the CADMotor administration section, files are managed, assessments created, progress monitored, results easily accessible and customizable. Users can reach their current enrolments via a single endpoints.

Optionally, assessments can be distributed as PWAs (Progressive Web Apps), providing local installation and offline capabilities (mobile devices and tablets).

Evaluate impact of endoscope imaging enhancement (modality)

Client case (1)

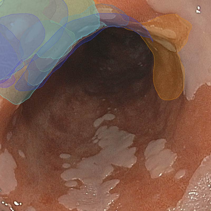
Endoscope manufacturers provide various imaging enhancement techniques for easier detection of neoplasia. A trial was setup to compare WLE (White-Light Endoscopy) against different modalities to measure impact on agreement and detection rates amongst assessors.

A randomized multi-phase trial was created where participants were presented with single and side-by-side images. Questions regarding modality preference and assessors´ estimated ability to depict neoplasia were raised and compared to actual outcome. Heatmaps were exported to compare annotation spread on WLE and modality images.

Create interactive training module for promotion and "light" training

Client case (2)

As part of promoting imaging techniques and raising awareness of client´s technology a website containing product information and an interactive training module was created. The purpose with the training is to provide visitors with an experience where they can experience endoscopy images online, test their ability, get immediate feedback, and get a feeling for how useful imaging enhancement techniques can be.

A small subset of images from an existing trial was selected and assessed by experts to establish a ground truth of dysplastic and non-dysplastic images. The result was exported and set up in the module. A CADMotor analysis javascript library is used to allow visitors to draw and compare their delineations against the experts.

Pre-process filesets for ML training

Client case (3)

ML training requires large amounts of files and data and many contributors for classification and characterization of images. A structured, standardized approach to collecting and assessing content and a software backend that scales with size is vital. This client case aimed at preparing filesets for ML training contains:

  • 1.500+ videos
  • 10.000+ images
  • 20+ assessments
  • 200+ assessors
  • 100.000+ data points

CADMotor allows the research team to:

  • Upload and tag videos and images
  • Create trial sets online and let experts outline feature characteristics
  • Create benchmarking trials for external assessors to collect additional data points needed for dataset preparation
  • Use output to establish ground truths and select content for ML training
  • Distribute raw data to the ML engineering team
  • Import trained ML algorithms for validation tests on assessors

Let´s connect!

CADMotor is a result of several image analysis research projects conducted over a period of time. Processes and methodologies have been optimized over time and in cooperation between software development and research teams. The platform is mainly being used for endoscopy imaging, but could be extended to other categories of images with little effort.

CADMotor has been online since 2020, works and provides a lot of opportunities. Meducati was founded in 2010 and the experience from image analysis dates even further back. However, a web page cannot cover everything and we have more to share.

Thank you for making it all the way down here. Hopefully it means that we got your attention! Now you just have to hit that button below so that we can get to know you a little better.

hello@meducati.com

CADMOTOR
image annotation platform

Welcome to the home of image trials. If you are in need of a solution for hosting and structuring your videos and images, perform and characterize image annotations, run benchmarking tests, analyze results, and output data points for research, you could be in the right spot. Meducati AB (Sweden) has a long history of developing imaging software for endoscopy training and research. With a history of conducting 50+ projects, our solutions have been used for:

  • Pre-processing ML filesets
  • Preparing training material for learning modules
  • Imaging research projects
  • Establishing standardized grading criteria of the esophagus

The interest in Machine Learning (ML) is constantly growing. CADMotor is being developed to support partners´ increased needs for larger datasets, larger research teams, assessment standardization, time optimization and better integration with external platforms.

CADMotor overview

In preparation for ML algorithm training a highly scalable and accessible solution is required for management and keeping track of large amounts of content, annotation progress, and ease of selecting and outputting quality data points. Standardization of annotation methodology shortens assessment durations and makes it easier for assessors to contribute.

Projects with typically lesser amount of content such as user training and evaluation trials also benefit from keeping the same approach to tagging and classification as used by the ML sets. Established best practices shorten timespans and make different research approaches easier to compare and evaluate. Projects can be set up independently but a large database will also make it easy to derive and run trials on subsets of files quickly and as needed.

CADMotor is intended to facilitate both needs. The frontend is divided into two parts:

Admin section

CADMotor allows teams to manage content and build tailored imaging assessments into their workflow process. A selection of features:
  • Upload and tag videos and images
  • Manage assessor accounts
  • Run and monitor assessments
    • Select pre-defined assessment templates or customize new
    • Select subsets of content
    • Create questionnaires
    • Define image characteristics for the assessor to deliver
    • Define randomizing-algorithms for trial data distribution
  • Define ground truth and compare to assessor overlays
  • Review and output assessment results for analysis in .CSV or .JSON format

Assessors´ section

CADMotor allows for trial flexibility. Assessors have a single endpoint for all open assessments, but each one could appear different or have a different purpose:
  • Single image or side-by-side comparisons
  • Image, video, or plain questionnaire assessments
  • Selected drawing tools, pen, point, lasso, box etc
  • Access to support files, instructions or not
  • Open or pre-defined navigation paths

Technology

CADMotor is a cloud-hybrid solution. The backend utilizes Amazon Web Services (AWS). A team can have a private cloud formation (separated private area) setup, but no other installations are needed. CADMotor is using edge web technologies as necessary and browser restrictions apply. A selection of tools for building CADMotor:

  • AWS Dynamo DB for size and scalability
  • AWS S3 for storage
  • AWS Cognito as user database for security
  • AWS EC2 for hosting frontend applications
  • AWS Lambda for tasks, including image optimizations (Lambda layers)
  • Progressive Web Apps (PWAs) for offline capabilities
  • Node.js for web development
  • Drawing tools (internally developed)
  • Analysis tools; heatmap viewer, ground truth tester etc (internally developed)
  • Data exports in CSV or JSON for easy transfer to data analysis tools

Via the CADMotor administration section, files are managed, assessments created, progress monitored, results easily accessible and customizable. Users can reach their current enrolments via a single endpoints.

Optionally, assessments can be distributed as PWAs (Progressive Web Apps), providing local installation and offline capabilities (mobile devices and tablets).

Evaluate impact of endoscope imaging enhancement (modality)

Client case (1)

Endoscope manufacturers provide various imaging enhancement techniques for easier detection of neoplasia. A trial was setup to compare WLE (White-Light Endoscopy) against different modalities to measure impact on agreement and detection rates amongst assessors.

A randomized multi-phase trial was created where participants were presented with single and side-by-side images. Questions regarding modality preference and assessors´ estimated ability to depict neoplasia were raised and compared to actual outcome. Heatmaps were exported to compare annotation spread on WLE and modality images.

Create interactive training module for promotion and "light" training

Client case (2)

As part of promoting imaging techniques and raising awareness of client´s technology a website containing product information and an interactive training module was created. The purpose with the training is to provide visitors with an experience where they can experience endoscopy images online, test their ability, get immediate feedback, and get a feeling for how useful imaging enhancement techniques can be.

A small subset of images from an existing trial was selected and assessed by experts to establish a ground truth of dysplastic and non-dysplastic images. The result was exported and set up in the module. A CADMotor analysis javascript library is used to allow visitors to draw and compare their delineations against the experts.

Pre-process filesets for ML training

Client case (3)

ML training requires large amounts of files and data and many contributors for classification and characterization of images. A structured, standardized approach to collecting and assessing content and a software backend that scales with size is vital. This client case aimed at preparing filesets for ML training contains:

  • 1.500+ videos
  • 10.000+ images
  • 20+ assessments
  • 200+ assessors
  • 100.000+ data points

CADMotor allows the research team to:

  • Upload and tag videos and images
  • Create trial sets online and let experts outline feature characteristics
  • Create benchmarking trials for external assessors to collect additional data points needed for dataset preparation
  • Use output to establish ground truths and select content for ML training
  • Distribute raw data to the ML engineering team
  • Import trained ML algorithms for validation tests on assessors

Let´s connect!

CADMotor is a result of several image analysis research projects conducted over a period of time. Processes and methodologies have been optimized over time and in cooperation between software development and research teams. The platform is mainly being used for endoscopy imaging, but could be extended to other categories of images with little effort.

CADMotor has been online since 2020, works and provides a lot of opportunities. Meducati was founded in 2010 and the experience from image analysis dates even further back. However, a web page cannot cover everything and we have more to share.

Thank you for making it all the way down here. Hopefully it means that we got your attention! Now you just have to hit that button below so that we can get to know you a little better.

hello@meducati.com

CADMOTOR
image annotation platform

Welcome to the home of image trials. If you are in need of a solution for hosting and structuring your videos and images, perform and characterize image annotations, run benchmarking tests, analyze results, and output data points for research, you could be in the right spot. Meducati AB (Sweden) has a long history of developing imaging software for endoscopy training and research. With a history of conducting 50+ projects, our solutions have been used for:

  • Pre-processing ML filesets
  • Preparing training material for learning modules
  • Imaging research projects
  • Establishing standardized grading criteria of the esophagus

The interest in Machine Learning (ML) is constantly growing. CADMotor is being developed to support partners´ increased needs for larger datasets, larger research teams, assessment standardization, time optimization and better integration with external platforms.

Join our journey!

We are expanding our platform and is now searching for new clients intersted in our services and to grow with.

hello@meducati.com

CADMotor overview

In preparation for ML algorithm training a highly scalable and accessible solution is required for management and keeping track of large amounts of content, annotation progress, and ease of selecting and outputting quality data points. Standardization of annotation methodology shortens assessment durations and makes it easier for assessors to contribute.

Projects with typically lesser amount of content such as user training and evaluation trials also benefit from keeping the same approach to tagging and classification as used by the ML sets. Established best practices shorten timespans and make different research approaches easier to compare and evaluate. Projects can be set up independently but a large database will also make it easy to derive and run trials on subsets of files quickly and as needed.

CADMotor is intended to facilitate both needs. The frontend is divided into two parts:

Admin section

CADMotor allows teams to manage content and build tailored imaging assessments into their workflow process. A selection of features:
  • Upload and tag videos and images
  • Manage assessor accounts
  • Run and monitor assessments
    • Select pre-defined assessment templates or customize new
    • Select subsets of content
    • Create questionnaires
    • Define image characteristics for the assessor to deliver
    • Define randomizing-algorithms for trial data distribution
  • Define ground truth and compare to assessor overlays
  • Review and output assessment results for analysis in .CSV or .JSON format

Assessors´ section

CADMotor allows for trial flexibility. Assessors have a single endpoint for all open assessments, but each one could appear different or have a different purpose:
  • Single image or side-by-side comparisons
  • Image, video, or plain questionnaire assessments
  • Selected drawing tools, pen, point, lasso, box etc
  • Access to support files, instructions or not
  • Open or pre-defined navigation paths

Technology

CADMotor is a cloud-hybrid solution. The backend utilizes Amazon Web Services (AWS). A team can have a private cloud formation (separated private area) setup, but no other installations are needed. CADMotor is using edge web technologies as necessary and browser restrictions apply. A selection of tools for building CADMotor:

  • AWS Dynamo DB for size and scalability
  • AWS S3 for storage
  • AWS Cognito as user database for security
  • AWS EC2 for hosting frontend applications
  • AWS Lambda for tasks, including image optimizations (Lambda layers)
  • Progressive Web Apps (PWAs) for offline capabilities
  • Node.js for web development
  • Drawing tools (internally developed)
  • Analysis tools; heatmap viewer, ground truth tester etc (internally developed)
  • Data exports in CSV or JSON for easy transfer to data analysis tools

Via the CADMotor administration section, files are managed, assessments created, progress monitored, results easily accessible and customizable. Users can reach their current enrolments via a single endpoints.

Optionally, assessments can be distributed as PWAs (Progressive Web Apps), providing local installation and offline capabilities (mobile devices and tablets).

Client case (1)

Evaluate impact of endoscope imaging enhancement (modality)

Endoscope manufacturers provide various imaging enhancement techniques for easier detection of neoplasia. A trial was setup to compare WLE (White-Light Endoscopy) against different modalities to measure impact on agreement and detection rates amongst assessors.

A randomized multi-phase trial was created where participants were presented with single and side-by-side images. Questions regarding modality preference and assessors´ estimated ability to depict neoplasia were raised and compared to actual outcome. Heatmaps were exported to compare annotation spread on WLE and modality images.

Client case (2)

Create interactive training module for promotion and "light" training

As part of promoting imaging techniques and raising awareness of client´s technology a website containing product information and an interactive training module was created. The purpose with the training is to provide visitors with an experience where they can experience endoscopy images online, test their ability, get immediate feedback, and get a feeling for how useful imaging enhancement techniques can be.

A small subset of images from an existing trial was selected and assessed by experts to establish a ground truth of dysplastic and non-dysplastic images. The result was exported and set up in the module. A CADMotor analysis javascript library is used to allow visitors to draw and compare their delineations against the experts.

Client case (3)

Pre-process filesets for ML training

ML training requires large amounts of files and data and many contributors for classification and characterization of images. A structured, standardized approach to collecting and assessing content and a software backend that scales with size is vital. This client case aimed at preparing filesets for ML training contains:

  • 1.500+ videos
  • 10.000+ images
  • 20+ assessments
  • 200+ assessors
  • 100.000+ data points

CADMotor allows the research team to:

  • Upload and tag videos and images
  • Create trial sets online and let experts outline feature characteristics
  • Create benchmarking trials for external assessors to collect additional data points needed for dataset preparation
  • Use output to establish ground truths and select content for ML training
  • Distribute raw data to the ML engineering team
  • Import trained ML algorithms for validation tests on assessors

Let´s connect!

CADMotor is a result of several image analysis research projects conducted over a period of time. Processes and methodologies have been optimized over time and in cooperation between software development and research teams. The platform is mainly being used for endoscopy imaging, but could be extended to other categories of images with little effort.

CADMotor has been online since 2020, works and provides a lot of opportunities. Meducati was founded in 2010 and the experience from image analysis dates even further back. However, a web page cannot cover everything and we have more to share.

Thank you for making it all the way down here. Hopefully it means that we got your attention! Now you just have to hit that button below so that we can get to know you a little better.

hello@meducati.com